1. Introduction 100%
Role of Ultrasound in Evaluating Seminal Vesicles
Clinical Indications: Infertility, Hematospermia, Pain
Relevance in Male Pelvic Anatomy
Comparison with MRI and CT
Clinical Indications: Infertility, Hematospermia, Pain
Relevance in Male Pelvic Anatomy
Comparison with MRI and CT
2. Anatomy and Physiology 100%
Paired Glandular Structures Posterior to Bladder
Relation to Vas Deferens, Prostate, and Rectum
Contribution to Seminal Fluid
Ducts of Seminal Vesicles and Ejaculatory Duct Pathway
Relation to Vas Deferens, Prostate, and Rectum
Contribution to Seminal Fluid
Ducts of Seminal Vesicles and Ejaculatory Duct Pathway
3. Scanning Techniques 100%
Transabdominal vs Transrectal (TRUS) Approach
High-Resolution Linear or Endocavitary Probe
Patient Prep: Full Bladder (Transabdominal) or Enema (TRUS)
Axial and Sagittal Views
Size, Symmetry, and Echotexture Assessment
High-Resolution Linear or Endocavitary Probe
Patient Prep: Full Bladder (Transabdominal) or Enema (TRUS)
Axial and Sagittal Views
Size, Symmetry, and Echotexture Assessment
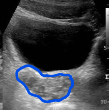
4. Normal Seminal Vesicle Appearance 80%
Symmetrical, Hypoechoic, Elongated Structures
Normal Size: Length ~3 cm, Width ~1.5 cm
Anechoic Central Lumen
No Focal Mass or Wall Thickening
Normal Size: Length ~3 cm, Width ~1.5 cm
Anechoic Central Lumen
No Focal Mass or Wall Thickening
5. Congenital and Developmental Anomalies
1. Aplasia or Hypoplasia
Unilateral or Bilateral AbsenceAssociated with Vas Deferens or Renal Agenesis
2. Zinner Syndrome
Triad: Unilateral Renal Agenesis + Ipsilateral Seminal Vesicle Cyst + Ejaculatory Duct ObstructionTRUS and MRI for Confirmation
6. Infections and Inflammation
Seminal Vesiculitis
Thickened, Enlarged Vesicle with Hyperemia
Reactive Changes in Adjacent Structures
Association with Prostatitis or Epididymitis
Thickened, Enlarged Vesicle with Hyperemia
Reactive Changes in Adjacent Structures
Association with Prostatitis or Epididymitis
7. Cystic Lesions 30%
Congenital Seminal Vesicle Cysts
Acquired Retention Cysts
Simple vs Complex Appearance
Differentiation from Mullerian Duct or Ejaculatory Duct Cysts
Acquired Retention Cysts
Simple vs Complex Appearance
Differentiation from Mullerian Duct or Ejaculatory Duct Cysts
8. Tumors and Masses 0%
Rare Primary Adenocarcinoma
Secondary Invasion from Prostate or Rectum
Solid, Heterogeneous Masses with Irregular Borders
Further Evaluation by MRI and Biopsy
Secondary Invasion from Prostate or Rectum
Solid, Heterogeneous Masses with Irregular Borders
Further Evaluation by MRI and Biopsy
9. Interventional and Post-Surgical Assessment 0%
TRUS-Guided Aspiration of Cysts
Post-Ejaculatory Duct Stenting Follow-up
Post-Vesiculectomy Changes
Evaluation After Seminal Tract Surgery
Post-Ejaculatory Duct Stenting Follow-up
Post-Vesiculectomy Changes
Evaluation After Seminal Tract Surgery
10. Case Studies and Quiz Section 0%
Unilateral Cyst Case (Zinner Syndrome)
Vesiculitis vs Cystic Mass Differentiation
Doppler Assessment Practice
Image-Based Multiple Choice Questions
Vesiculitis vs Cystic Mass Differentiation
Doppler Assessment Practice
Image-Based Multiple Choice Questions

No comments:
Post a Comment